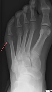
This is a prominence of the base of the 5th toe/little toe. The prominence is the head of the 5th metatarsal bone found just at the base of the little toe on the outside border of the foot.
The name originates from the typical seating posture seen by a Tailor when working. Often no cause is found however tighter footwear can exacerbate problems, foot shape can predispose people to discomfort, if you have a particularly widened forefoot or an unusually “bowed” 5th metatarsal bone on X-Ray.
The main reason people seek medical attention is because of pain around the bump on the outside of the foot, especially when wearing shoes. The skin can get inflamed and painful with swelling typical.
The clinical features as discussed above in addition to typical X-Ray findings diagnose the problem.

People often “live” with the symptoms for many years and then finally seek medical attention. If you decide not to see your doctor, the problem will tend to progress, usually slowly with the bump becoming uncomfortable.
The treatment is operative or non-operative.
Non-operative treatment aims to reduce the symptoms by reducing the pressure on the bunion. This is usually achieved with wearing wider, more comfortable shoes or possibly custom insoles.
Operative treatment is the only way to physically change the shape of your foot. It removes the bump on the foot and will overall narrow the profile of your foot to allow you to regain your active lifestyle and hopefully wear the type of shoes you want to.
Many patients are simply seeking advice on managing a problem. In some cases modifying shoes can prove a successful therapy however if not, then surgery can be indicated and the timing of the surgery can be arranged to suit your needs.